Mixed Tumour Tissue Microarray for Cancer Research
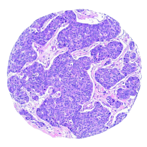
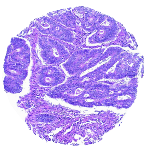
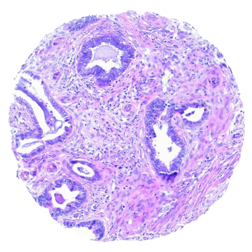
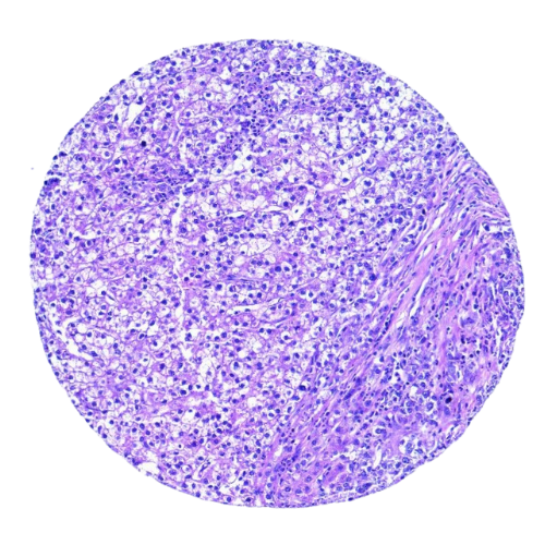
Tissue microarrays (TMAs) are powerful research tools that allow the analysis of hundreds of tissue specimens on a single slide. By integrating multiple tissue cores into one paraffin block, researchers can efficiently study expression profiles and morphological changes across different patient samples under standardized conditions. Our mixed tumour TMA (TMX008) integrates up to 19 tissue types within a single panel, offers a unique advantage for large-scale investigations into disease progression, molecular subtypes, and potential therapeutic targets.
Mixed tumour TMA are widely applied in immunohistochemistry (IHC) and hematoxylin and eosin (H&E) staining. IHC allows researchers to detect specific protein markers within tumour cells or the surrounding microenvironment, while H&E staining provides critical insights into tissue architecture and cellular abnormalities. Together, these techniques form the backbone of histopathological and biomarker analysis in cancer study.

Breast

Cecum

Cervix

Colon

Duodenum

Esophagus

Head and Neck

Kidney

Liver

Lung

Lymphoma

Ovary

Pancreas

Prostate

Rectum

Stomach

Thymus

Uterus

Bladder
Role of Tissue Microarrays in TME Research
Tissue microarrays have transformed how researchers explore the tumour microenvironment (TME). They enable high-throughput analysis of multiple tissue samples simultaneously, making them essential for identifying biomarkers, conducting immune profiling, and performing spatial analysis. TMAs allow researchers to map immune cell infiltration, tumour heterogeneity, and stromal interactions across a broad cohort. Because human-derived TMAs preserve spatial organization, they provide a more accurate representation of the TME compared to animal models. This accelerates the validation of predictive biomarkers and improves the understanding of therapy response, ultimately pushing forward the development of personalised cancer treatment strategies.
Why Choose MYmAb Biologics' Tissue Microarray Over Others
What sets MYmAb Biologics apart is more than just technical quality. It’s the depth and relevance of our source material:
- IRB-Approved: All tissue samples are ethically sourced under approved Institutional Review Board protocols.
- SEA Sourced Sample: Our tissue microarrays are sourced from Southeast Asian samples, offering distinct population-specific insights that are often missing from Western-focused arrays.
- Fully Consented: Every sample comes from donors who have given informed consent, supporting ethical research standards.
- Comprehensive Data: Each array is curated for metadata richness, covering tumour type, grade, stage, and patient demographics when available.
- Global Delivery: We deliver worldwide with reliable logistics and clear documentation, making our TMAs accessible to researchers everywhere.
We also offer services such as:
Staining Services
High quality H&E and IHC staining services with fast turnaround time and competitive pricing.
IHC Staining Training
Comprehensive 2-day staining training workshop with certification of completion.
Scanning & Storage Services
Scanning service that allows researchers to view slides on the monitor and storing of virtual slides.
Contact Our Team
Location:
Block D-G-8, UPM-MTDC Technology Centre III, Universiti Putra Malaysia, 43400 Serdang, Selangor Darul Ehsan, Malaysia.
Phone:
03-8938 9819
Email:
info.mymab@gmail.com

